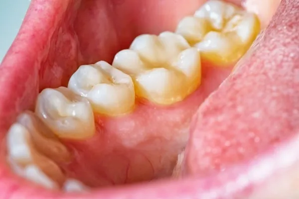
Ramai orang masih keliru tentang berapa kali perlu gosok gigi dalam sehari. Jawapannya bergantung kepada rutin pemakanan dan kebersihan mulut. Tetapi yang pasti, matlamat utama adalah untuk mengelakkan plak gigi. Plak ialah lapisan nipis bakteria yang melekat pada permukaan gigi dan boleh menyebabkan karang gigi, nafas berbau, serta kerosakan gigi.
Jika dibiarkan, plak ini boleh menjadi punca utama kepada masalah gusi dan gigi berlubang.
Untuk memahami lebih lanjut kenapa ia berbahaya, mari kita lihat bagaimana plak terbentuk dan cara terbaik untuk mengelakkannya.
Untuk mendapatkan lebih banyak informasi tentang Kesihatan Mulut, anda boleh klik di sini.
Punca plak gigi yang ramai tak perasan

Plak gigi terbentuk apabila bakteria dalam mulut bercampur dengan sisa makanan, terutama yang mengandungi gula atau kanji.
Campuran ini menghasilkan asid yang melekat pada gigi.
Antara punca plak yang paling biasa termasuk:
- Tidak memberus gigi sekurang-kurangnya dua kali sehari
- Makan makanan manis atau berkanji tanpa membilas mulut
- Tidak menggunakan flos untuk membersihkan celah gigi
- Air liur yang sedikit (mulut kering), menyebabkan bakteria mudah membiak
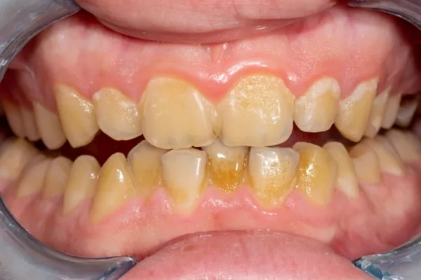
Jika dibiarkan, punca plak ini akan membawa kepada pembentukan karang yang lebih sukar dibersihkan.
Proses pembentukan plak gigi
Ramai tidak tahu bahawa proses pembentukan plak gigi berlaku dengan sangat cepat iaitu dalam masa hanya beberapa jam selepas makan!
Berikut ialah fasa proses pembentukan plak:
- Selepas makan – Sisa gula dan kanji melekat pada gigi.
- Beberapa jam kemudian – Bakteria mula mengeluarkan asid dan membentuk lapisan lembut di permukaan gigi.
- Dalam masa 24 jam – Lapisan lembut ini bertukar menjadi plak.
- Selepas beberapa hari – Jika tidak dibersihkan, plak akan mengeras menjadi karang gigi (tartar).
Inilah sebab kenapa doktor gigi menasihatkan supaya kita gosok gigi dua kali sehari; pagi dan sebelum tidur.
Buang plak gigi dengan cara yang betul

Untuk buang plak, anda tidak boleh sekadar berkumur atau makan gula-gula berangin.
Ia perlu dibersihkan dengan teknik yang betul.
Berikut ialah cara paling berkesan untuk buang plak gigi:
- Gosok gigi sekurang-kurangnya 2 kali sehari selama 2 minit
- Gunakan ubat gigi berfluorida untuk bantu menguatkan enamel
- Bersihkan celah gigi dengan flos sekurang-kurangnya sekali sehari
- Gunakan mouthwash antibakteria selepas memberus gigi
- Jumpa doktor gigi setiap 6 bulan sekali untuk scaling
Pembersihan profesional oleh doktor gigi dapat menanggalkan plak dan karang gigi yang tidak dapat dibersihkan di rumah.
Cara elak plak gigi daripada terbentuk
Langkah pencegahan adalah yang paling penting.
Untuk cara elak plak gigi, anda boleh amalkan tabiat mudah berikut:
- Kurangkan makanan manis seperti gula-gula, kek dan minuman berkarbonat
- Minum lebih banyak air kosong selepas makan untuk bilas sisa makanan
- Elakkan merokok kerana ia mempercepat pembentukan plak
- Gunakan berus gigi lembut dan ganti setiap 3 bulan
- Jangan lupa berus lidah; tempat bakteria mudah membiak
Dengan amalan ini, risiko plak dapat dikurangkan dengan ketara
Berapa kali perlu gosok gigi dalam sehari?
Menurut pakar pergigian, anda perlu gosok gigi sekurang-kurangnya dua kali sehari, iaitu selepas sarapan dan sebelum tidur.
Namun, jika anda kerap mengambil makanan manis atau melekit, gosok gigi tiga kali sehari adalah lebih baik.
Selain itu:
- Tunggu 30 minit selepas makan sebelum memberus gigi supaya asid dalam mulut dapat dineutralkan
- Gunakan teknik berus bulatan kecil di sekitar gusi bagi mengelakkan kecederaan
- Guna flos gigi setiap malam untuk kawasan yang berus tak boleh capai
Ingat, mencegah lebih mudah daripada merawat! Menjaga rutin ini membantu mengelakkan pembentukan plak dan mulut kekal sihat untuk jangka panjang.

Kesimpulan
Menjaga kebersihan mulut bukan sekadar tentang nafas segar, tetapi juga langkah penting untuk mengelakkan karang yang boleh menyebabkan pelbagai masalah lain seperti gusi bengkak, karang gigi dan gigi berlubang.
[embed-health-tool-bmi]